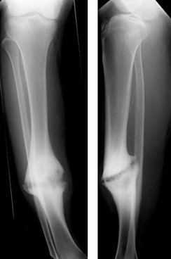
Comprehensive Care for Complex Fracture Care
Fractures can range from simple cracks to severe, complicated breaks that affect multiple bones and tissues. Complex fractures often require advanced surgical expertise and specialized care to restore proper bone alignment, mobility, and function. With modern orthopedic techniques, patients can achieve full recovery and return to daily life with confidence.

