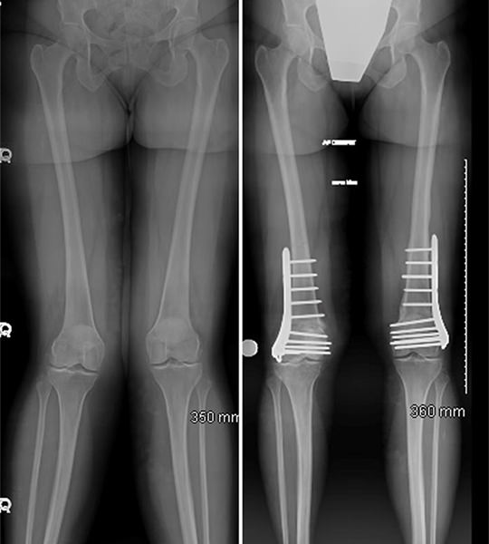
Deformity Correction
Bone and joint deformities can significantly impact mobility, posture, and overall quality of life. Whether caused by birth defects, injury, or improper healing of fractures, deformities require specialized surgical correction to restore natural alignment and improve function. At our center, we use advanced orthopedic techniques to ensure safe, effective, and lasting outcomes.

